Hallux Limitus
/ Hallux Rigidus

Foot Conditions
Scroll to Learn More

What is Hallux Limitus / Hallux Rigidus

Hallux rigidus is a form of degenerative arthritis that affects the joint at the base of the big toe. It causes pain, stiffness, and limited mobility in the joint - especially during walking or squatting. In its early stages, the condition is referred to as hallux limitus, where the range of motion is reduced but not completely lost. As the condition progresses and the joint becomes increasingly stiff and immobile, it is classified as hallux rigidus. Because bone spurs can form around the joint, it is sometimes mistaken for a bunion.

Causes:

Hallux rigidus is essentially osteoarthritis of the big toe joint. It may develop due to abnormal foot mechanics, repetitive stress, or direct trauma to the joint. Structural factors - such as a long first metatarsal bone or an existing bunion deformity - can also increase the risk. Over time, these issues lead to the breakdown of cartilage within the joint, resulting in pain and stiffness.

Symptoms and Diagnosis:

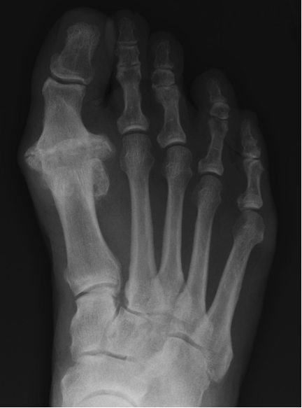
Patients may experience pain at the top of the big toe joint, swelling, difficulty bending the toe, and trouble with everyday activities like walking uphill or squatting. In colder weather, symptoms may worsen. In severe cases, patients may walk with a limp to compensate for the stiffness. Early diagnosis is key to effective management. Your foot specialist will examine the joint, review your medical history, and order X-rays to assess the extent of joint damage. Identifying the condition in its early stages allows for more conservative and effective treatment options.

Make an Appointment

Book your appointment today and experience foot care that goes beyond the surface - focused on your comfort, health, and confidence.